Чудо на морозе: врачи Приморья спасли замёрзшего мужчину с черепно-мозговой травмой
чт, 05 фев. 10:00
Пациент провел около трех часов на улице без сознания

10:00 Общество Тематическое фото
Фото: ИА PrimaMedia Нашли опечатку? Ctrl+Enter Написать автору
PrimaMedia, 5 февраля. Медикам Спасской городской больницы удалось стабилизировать состояние и вернуть к жизни пациента, который после падения на скользкой дороге долгое время находился на сильном морозе с тяжелыми черепно-мозговыми травмами. Сейчас мужчина находится в сознании и продолжает получать необходимое лечение в медучреждении, сообщила пресс-служба Минздрава Приморья.
"В январе мужчина получил тяжёлые травмы после падения на скользкой дороге. Он был одет не по погоде, потерял сознание и около трёх часов находился на морозе, что привело к общему переохлаждению", — говорится в сообщении.

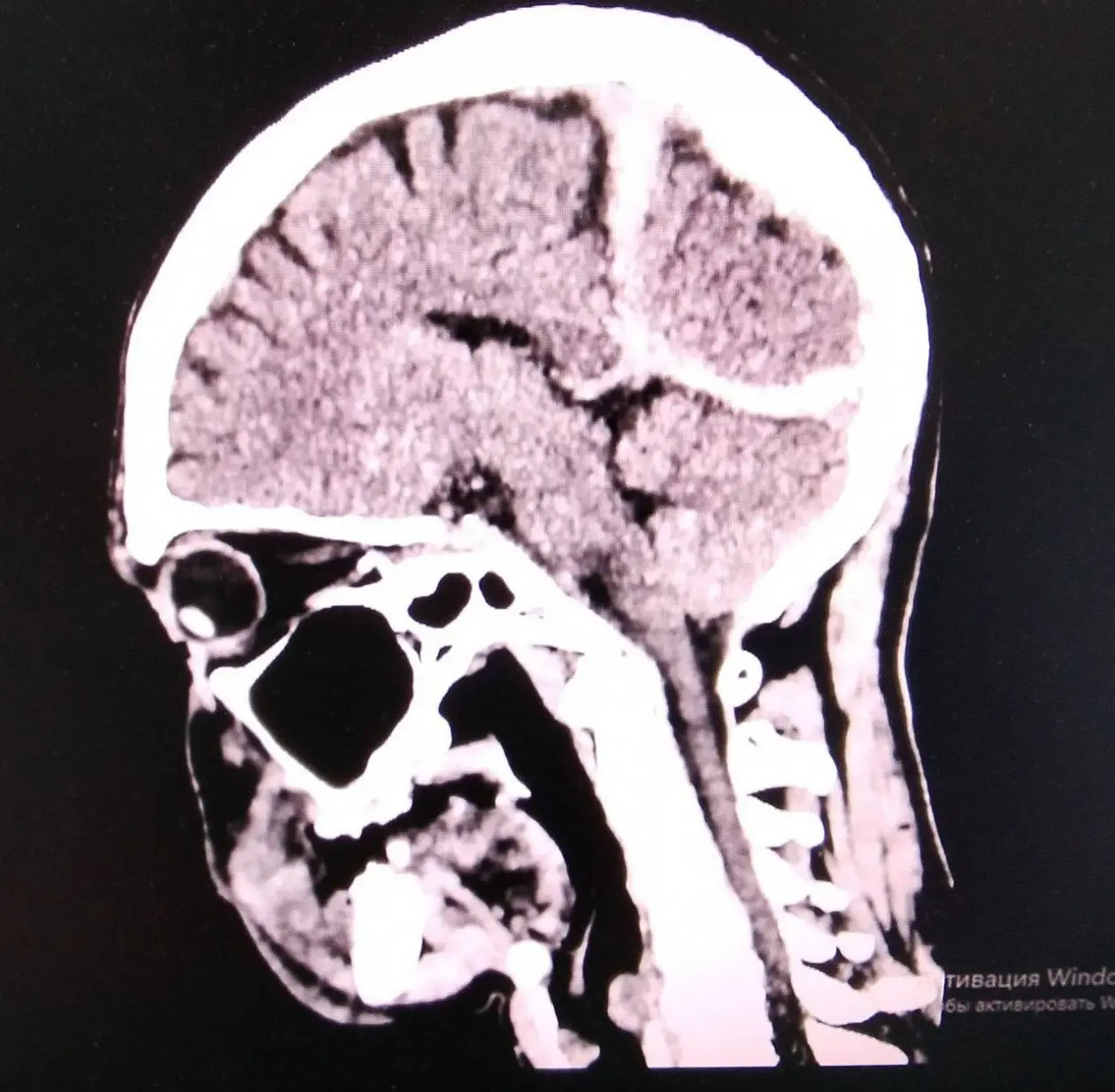
Снимок головы. Фото: Пресс-служба Минздрава Приморья
Обследование показало, что у пациента была субдуральная гематома, ушиб головного мозга и рана головы. Пострадавшего обнаружили местные жители, после чего его доставили в больницу.
Бригада врачей оперативно начала лечение. Благодаря их слаженной работе жизненные функции пациента удалось стабилизировать, его вывели из бессознательного состояния и начали комплексную терапию.
Напомним, врачи Владивостока спасли жизнь 13-летнего мальчика, который получил тяжёлю травму катаясь на самодельной горке для тюбинга. Из-за резкого виража и последовавшего неконтролируемого заноса подросток на полной скорости врезался в бетонную стену.

Малоинвазивное чудо: хирурги в Находке спасли печень пациента без разрезов
Мужчину уже выписали домой для дальнейшего восстановления